बीते वर्षों मे दवाइयों और मेडिकल के जानकारों ने न जाने कितने ही लोगो की मदद करके उनकी जिंदगियाँ ही बदल के रख दी है। आगे हम इसी प्रकार के मेडिकल चमत्कार के बारे मे पढ़ने जा रहे है जिन्होने ऐली जोंस की ज़िंदगी बदल दी। ऐली जोंस भी उन भाग्यशाली लोगो मे से थी जिन्हे अपनी जीवन को बदलने का मौका इन मेडिकल प्रोफेशनलो के माध्यम से मिला। ऐली जोंस Rhyl, Wales की रहने वाली है। वे इसके लिए अपनी ओर्थोड़ोंटिस्ट और सर्जन का तहे दिल से धन्यवाद करती है। ऐली जोंस अपने पुराने लूक के कारण बहुत ही शर्मीले स्वभाव की और अपने लूक से नाराज रहती थी। लेकिन pioneering सर्जरी के माध्यम से ऐली के चेहरे का रंग ही बदल गया और अब वह पहले से सुंदर और ज्यादा आत्मविश्वास से भरी नज़र आती है।
यहाँ देखे और पढे कैसे, क्या हुआ…
जब ऐली 14 वर्ष की थी तब वह अपने दांतों को सही करवाने के लिए अपने ओर्थोड़ोंटिस्ट के पास गयी थी जिन्होने braces (दांतों मे तार फिक्स कर) पद्धति के माध्यम से उसे दांतों को फिक्स करने की कोशिश की। लेकिन कुछ समय बाद भी कोई बदलाव नज़र नही आया और पाया की उसकी chin (ठुड्डी) उसके 8 वर्ष के बाद से बढ़ी ही नही है।
ऐली जोंस Ellie Jones – सर्जरी से पहले और बाद मे :
| Source |
जब ऐली छोटी थी तब वह चाहती थी की उसके दांतों को braces (दांतों मे तार फिक्स कर) के माध्यम से अपने दांतों को सही किया जाए। लेकिन उसके ओर्थोड़ोंटिस्ट ने उसे एक आश्चर्यजनक खुलासा करते हुए बताया की उसे एक दुर्लभ बीमारी Congenital facial deformity (जन्मजात या जन्म के कुछ समय बाद से चेहरे का विकृत होना) थी जिससे की उसकी उम्र के साथ उसकी ठुड्डी (Chin) बढ़ नही रही, जिस कारण braces से भी उसे कुछ फाइदा नही हुआ।
उसके सर्जन्स के अनुसार, Emma Woolley at Ysbyty Glan Clwyd सेंटर पर 100 से भी ज्यादा मरीज जबड़े (Jaw) की परेशानी लेकर उनके संस्थान मे आते है। लेकिन ऐली की समस्या उन सबसे कुछ ज्यादा ही अलग थी। जिसके लिए ऐली के सर्जन ने ऐली के लिए Pioneering Surgery की जिसने की ऐली की ज़िंदगी हमेशा के लिए बदल के रख दी।
वह मेक्षिओफेशियल Maxillofacial सर्जरी के दो स्टेज मे गयी थी। जिसमे पहली स्टेज उसके जबड़े के आकृति को ठीक करना था।
उसके सर्जन्स के अनुसार, Emma Woolley at Ysbyty Glan Clwyd सेंटर पर 100 से भी ज्यादा मरीज जबड़े (Jaw) की परेशानी लेकर उनके संस्थान मे आते है। लेकिन ऐली की समस्या उन सबसे कुछ ज्यादा ही अलग थी। जिसके लिए ऐली के सर्जन ने ऐली के लिए Pioneering Surgery की जिसने की ऐली की ज़िंदगी हमेशा के लिए बदल के रख दी।
वह मेक्षिओफेशियल Maxillofacial सर्जरी के दो स्टेज मे गयी थी। जिसमे पहली स्टेज उसके जबड़े के आकृति को ठीक करना था।
ऐली जोंस – सर्जरी से पहले और बाद मे :
| Source |
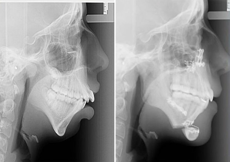
इस सर्जरी मे ऐली के जबड़े को आड़ा और खड़े रूप मे काटा गया ताकि चेहरे को समान्य रूप मे परिवर्तित किया जा सके।
ऐली जोंस – X-Rays मे पहले और बाद मे :
| Source |
लेकिन ऐली के लिए ये सर्जरी इतनी आसान नही थी। उसे एक महीने एक तरल भोजन के ऊपर निर्भर रहना पडा। फिर भी ऐली इसके लिए तैयार थी क्योकि उसकी ज़िंदगी बदलने वाली थी। 6 माह के बाद उसने prom party को attend किया। और अब वह पहले से अधिक खुश है।
एक साल बाद, वह फिर से अपने चेहरे मे अंतिम बदलाव के लिए सर्जरी की दूसरी स्टेज के लिए तैयार थी। इस बार उसके corrective surgery के द्वारा उसके ठुड्डी की आकृति को ठीक किया गया।
ऐली जोंस अपने ओर्थोड़ोंटिस्टस के साथ :
| Source |
इस सर्जरी ने ऐली जोंस की ज़िदगी पूरी तरह से बदल के रख दी थी। अब वह एक आत्मविश्वास से भरी महिला के रूप मे बदल चुकी है, जो की 6 वर्ष पहले तक एक शर्मीली और डरे हुए स्वभाव की थी।
ऐली जोंस अपने ओर्थोड़ोंटिस्टस के साथ :
| Source |
अपने चेहरे के इस बदलाव के बाद वह पहले से और भी अधिक आत्मविश्वासी और कुछ भी काम बेझिजक कर सकती है। उसके आंतरिक और मानसिक बदलाव को भी हम देख सकते है की, किस तरह वह वह प्रोम पार्टी मे बिना शरमाये शामिल हो सकती है, डांस कर सकती है जो की सर्जरी के बाद और भी बेहतरीन रूप से कर पा रही है। ऐली बताती है की वह एक फॉटोग्राफर बनना चाहती है जो की लोगो के जीवन के बारे मे, रहन-सहन के बारे मे फोटो खींच कर अपने कीमती पलों मे जोड़ सके। वह अपने ओर्थोड़ोंटिस्ट और कंसल्टेंट का बहुत ही शुक्र गुजार है।
आप इस विडियो को भी देखे जिसमे ऐली खूद बताती है की कैसे क्या हुआ:

Comments
Post a Comment